По данным https://www.antiplagiat.ru/ Уникальность текста на 02.07.2018г. – 98,76 %.
Ключевые слова, теги: компьютерная томография, имплантация, рентгенография, аугментация, синус-лифтинг.
Диагностика – первая и важнейшая часть лечебного процесса. От её своевременности и точности зависит достоверность диагноза и определение стадии развития заболевания, максимально объективный анализ степени воздействия патологического процесса, на основании чего проводится оценка рисков, выбираются методы лечения, составляется прогноз эффективности. Именно поэтому важно использовать самое современное инновационное оборудование. К такому оборудованию относится дентальный рентгеновский аппарат последнего поколения SIRONA ORTHOPHOS SL 3D, открывающий возможность проводить ультраточную, высокоэффективную диагностику.

Как заглянуть внутрь живого человеческого организма, чтобы изучить, как он устроен? Стремление ответить на этот вопрос во все времена стимулировало учёных к постоянному расширению горизонтов своих знаний. Однако общественные нравственные нормы и религиозные догматы, запрещающие вмешательство в «богом созданное» тело, создавали серьёзные помехи для научных исследований. Но так как существующие трактовки «человекоустройства» были построены на догадках, домыслах и не давали комплексного представления, то исследователи, например, такие, как скульптор, архитектор, художник Микеланджело и изобретатель, художник Леонардо да Винчи, не могли удовлетвориться этим и продолжали изучение тела человека даже под страхом суровой кары. Со временем сила религиозных догм слабела, у науки появилась возможность развиваться. В России настоящим научным прорывом стал метод холодовой анатомии, разработанный хирургом Н.И. Пироговым в конце XIX века. Послойная техника, лежавшая в основе метода, позволила изучить строение человеческого тела и предопределила появление томографии.
Непосредственно история лучевых методов диагностики начинается с открытия в 1885 году немецким физиком В.К. Рентгеном нового вида излучения – «Х-лучей», которые позволили «заглянуть» внутрь живого человеческого организма. Именно эти лучи в совокупности с математическими алгоритмами, разработанными в последствие австрийским математиком Радоном и усовершенствованные польским математиком Качмажем, легли в последствие в основу первого томографического сканера. Уже 20-е годы XX века история лучевой диагностики шагнула на новый уровень, когда французский врач Бокаж разработал метод рентгеновской планиграфии: его механический сканер оставлял определённый слой организма человека на рентгенограмме неразмытым. В 1930 году итальянский инженер А. Валлебона изобрёл метод послойного рентгенологического исследования, а в 1934 году российский учёный В.И. Феоктистов сконструировал первый рентгеновский томограф, который открыл возможность прижизненного послойного изучения человеческого тела. В 1959 году в Америке невролог Уильям Олдендорф выступил с предположением, что с помощью рентгеновских лучей можно сканировать голову пациента и реконструировать рентгеноконтрастность слоёв. В 1971 году американский физик Аллан Кормак и британский инженер Годфри Хаунсфилд создали первый компьютерный томограф1, на котором была проведена первая в мире КТ головы.

В этом томографе была одна рентгеновская трубка, направленная на один детектор, что позволяло за 4-5 минут и один оборот получать изображение только одного слоя. Томографы второго поколения были веерными: несколько трубок устанавливались на несколько детекторов и давали возможность получить изображение уже за 20 секунд. В 1988 году появился первый спиральный компьютерный томограф: рентгеновская трубка вращалась в нём одновременно с непрерывно двигающимся вокруг продольной оси сканирования столом, на котором лежал пациент, что ещё больше сокращало время исследования. В 1992 году был разработан мультиспиральный способ томографии (МСКТ), который предполагал наличие в томографе двух и более детекторов. В 1998 году появился четырёхсрезовый мультиспиральный томограф с четырьмя рядами детекторов, в котором число оборотов было увеличено до двух в секунду.
С конца 1990-х годов метод томографии развивался очень быстрыми темпами, появлялись новые модификации томографов. Так, из-за громоздкости спиральных томографов и потребности в более компактном оборудовании появились аппараты конусно-лучевой компьютерной томографии (КЛКТ), которые стали использоваться в том числе в стоматологических клиниках для проведения диагностики головы и шеи2.
Это позволяет проводить в стоматологической клинике ультраточную диагностику, получать высокоинформативные изображения исследуемых участков, безошибочно анализировать клиническую ситуацию, планировать и проводить высокоэффективное лечение.
Компьютерная томография, или компьютерная радиография слоёв тела, или конусно-лучевая компьютерная томография – это метод послойного исследования организма человека, основанный на просвечивании внутренних органов и систем рентгеновскими лучами. Результатом КТ становится послойное изображение определённой части тела с возможной 3D-реконструкцией.

Слово «компьютерная» в термине означает, что микроэлектронное компьютерное программное обеспечение помогает выполнять подобные исследования.
Главное отличие КТ от обычного рентгенологического исследования заключается в том, что последнее представляет из себя однократное линейное сканирование, то есть лучи проходят через исследуемый орган или его участок один раз, и мелкие патологические изменения зачастую не визуализируются из-за наложения одного слоя ткани на другой. Во время томографии на конусно-лучевом аппарате источник рентгеновского излучения генерирует луч в виде широкого конуса, способного захватить участок большого объёма исследуемой области и просканировать его под разными углами и в разных плоскостях. Говоря простым языком, обычный рентгеноаппарат исследует орган «вертикально» и однократно, а томограф – «горизонтально» и послойно. Именно поэтому КТ часто называют трёхмерной диагностикой, позволяющей обнаруживать изменённые структуры в тканях даже с самой маленькой, до 0,1%, разницей в плотности3
Благодаря своей точности и безопасности, сегодня компьютерные томографические исследования проводятся во всех узких областях стоматологии:




В имплантологии – для правильной подготовки к оперативному вмешательству, построению ближних и отдалённых прогнозов, оценки результативности лечения, и пр.4

Сама процедура в стоматологии не отличается от процедуры привычного ОПТГ: пациент стоит в КТ-сканере, который, вращаясь под разными углами, пропускает через исследуемую область тела пациента рентгеновский луч.
 Так как ткани тела имеют различную плотность, они по-разному задерживают лучи. Компьютер, подключённый к сканеру, анализирует эти реакции, а затем при помощи алгебраического и визуального реконструирования выдаёт объёмное цифровое изображение исследуемого участка.
Так как ткани тела имеют различную плотность, они по-разному задерживают лучи. Компьютер, подключённый к сканеру, анализирует эти реакции, а затем при помощи алгебраического и визуального реконструирования выдаёт объёмное цифровое изображение исследуемого участка.
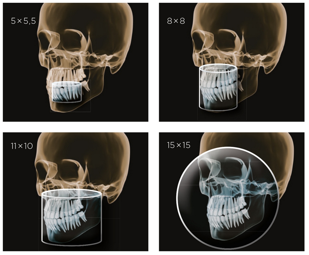
На сегодняшний день Dentsply Sirona – признанный лидер в сфере высокотехнологичных, ультрасовременных продуктов и услуг для стоматологии. Дентальное рентгеновское оборудование, представленное этой компанией, считается одним из лучших в мире. Всего за одно сканирование, длящееся несколько секунд, за которые пациент получает сверхмалую дозу облучения, оно выдаёт полную реконструированную 2D или 3D- модель нижней части черепа со всеми элементами челюстно-лицевой области, зубочелюстной системы, челюстных суставов и носовых пазух, которые можно рассматривать под разными углами и в разных плоскостях. Полученные изображения отличаются непревзойдённой чёткостью и позволяют с высочайшей точностью определить заболевание или патологию, её форму и стадию, оценить степень поражения тканей, составить план высокоэффективного лечения.

Для получения максимально точных результатов диагностических исследований, контроля за лечебным процессом и надлежащего постдинамического наблюдения, в том числе после проведения костно-пластических операций, имплантации и других оперативных вмешательств, в нашей клинике установлен новейший ретнгеновский аппарат SIRONA ORTHOPHOS SL 3D. Он является самой совершенной моделью линейки ORTHOPHOS. Эта универсальная диагностическая система позволяет проводить и КТ-, и ОПТГ-диагностику и обеспечивает её идеальные результаты благодаря комплектации ультрасовременными новинками. К ним относятся:

В настоящее время SIRONA ORTHOPHOS SL 3D – это, пожалуй, лучшее, что существует на данный момент в области дентальной рентгенодиагностики. Этот универсальный дентальный комплекс гарантирует безопасность пациента, высокую точность исследований и планирование максимально эффективного стоматологического лечения.

Показанием к проведению дентальной компьютерной томографии является планирование любого стоматологического лечения: эндодонтического, пародонтологического, ортодонтического, ортопедического, хирургического, имплантологического.
Абсолютных противопоказаний к проведению диагностики на компьютерном томографе не существует. Однако есть ситуации, в которых КТ не рекомендована и переносится по времени на более поздний, благоприятный для исследования период (например, если пациент страдает клаустрофобией в стадии обострения). Женщинам во время беременности, особенно в первом триместре, КТ-диагностика не проводится, за исключение случаев, когда без неё не обойтись по особым медицинским показаниям.
 Стоимость одного компьютерно-томографического исследования фиксированная. Но нужно отметить, что, если по показаниям необходимо проведение двух диагностических исследований – КТ и ОПТГ, это две разные манипуляции, которые осуществляются и оплачиваются отдельно.
Стоимость одного компьютерно-томографического исследования фиксированная. Но нужно отметить, что, если по показаниям необходимо проведение двух диагностических исследований – КТ и ОПТГ, это две разные манипуляции, которые осуществляются и оплачиваются отдельно.
Компьютерная томография открыла новую эру в диагностике, и с каждым годом её популярность растёт, потому что этот метод безопасен, неинвазивен и предоставляет максимально точные сведения о состоянии органов и систем. Томографические комплексы постоянно совершенствуются, улучшаются их характеристики, открываются новые возможности для ещё более точных исследований человеческого тела. Так, универсальный дентальный комплекс ORTHOPHOS SL 3D – это симбиоз высоких технологий, обеспечивающих непревзойдённо высокую точность диагностики и гарантированную эффективность основанного на ней лечения.
По данным https://www.antiplagiat.ru/ Уникальность текста на 02.07.2018г. – 98,76 %.
Ключевые слова, теги: компьютерная томография, имплантация, рентгенография, аугментация, синус-лифтинг.
*Изображения: Promo folder DENTSPLY SIRONA.
1История науки и техники. Материалы и технологии: учебное пособие, часть II. А.А. Шейпак. Москва, 2010, 343 с.
2Конусно-Лучевая Компьютерная Томография: прикладное использование в стоматологии и смежных областях медицины. Под редакцией Дэвида Сармента. 2016. ТАРКОММ
3 Конусно-Лучевая Компьютерная Томография: прикладное использование в стоматологии и смежных областях медицины. Под редакцией Дэвида Сармента. 2016. ТАРКОММ
4Компьютерная томография: учебное пособие для системы послевузового профессионального образования врачей. Карманный атлас по лучевой диагностике. С.К. Терновой, А.Б. Абдураимов, И.С. Федотенков. ГЭОТАР-МЕдиа, 2008, 176 с.
Спасибо за интерес к нашей клинике.
                            Специалисты клиники доктора Едранова ответят вам в ближайшее рабочее время.